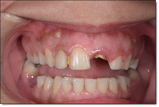
Accidents happen suddenly, often leaving patients with damaged or missing teeth. Whether caused by sports, falls, or vehicle collisions, tooth loss has serious effects on both function and confidence. Restorative dentistry provides solutions that rebuild smiles and restore health. Patients benefit from treatments that not only replace teeth but also strengthen surrounding structures. With today’s advanced techniques, recovery after dental trauma is more effective and natural-looking than ever.
Immediate Response After Tooth Loss
When accidents cause tooth loss, immediate dental care is crucial. If a tooth is knocked out, keeping it moist in milk or a dental preservation kit increases the chance of reimplantation. Dentists may stabilize the tooth or recommend extraction if damage is severe. Quick action preserves bone and tissue health, ensuring better long-term outcomes. Patients should always seek emergency dental treatment after trauma to prevent further complications.
Implants as a Permanent Solution

Dental implants are often the best choice for replacing accident-related tooth loss. A titanium post fuses with the jawbone, creating a secure base for a crown. Implants restore natural function and prevent bone loss that occurs after missing teeth. Patients regain the ability to chew, speak, and smile confidently. Because implants last for decades with proper care, they are a reliable long-term solution for traumatic tooth loss.
Other Restorative Options
For patients not suited for implants, bridges and partial dentures provide effective alternatives. Bridges use surrounding teeth for support, filling the gap left by trauma. Partial dentures restore multiple teeth at once, often at lower cost. Each option has unique advantages depending on the extent of damage, bone health, and patient goals. Dentists help patients evaluate which solution best balances comfort, appearance, and affordability.
Healing and Emotional Recovery
Tooth loss from accidents often carries emotional challenges. Patients may feel self-conscious or anxious about their appearance. Restorative dentistry not only repairs the physical damage but also restores confidence. By addressing both function and aesthetics, treatment supports overall recovery. Follow-up appointments ensure healing progresses properly and restorations remain stable.
Accident-related tooth loss can feel overwhelming, but restorative dentistry offers hope. Implants, bridges, and dentures rebuild smiles while preserving oral health. Quick action and professional care ensure the best results. Patients who pursue restorative options regain confidence, comfort, and normal function.